

Here’s a better question- why do they do it on one shoe and not the other?
The real reason is that your body is uneven. You’re lopsided and it causes your foot to turn in. You don’t carry your weight the same from side to side and this causes your arch in your foot to fall. What follows next is foot pain. This can cause Plantar Fasciitis.
Foot pain is common when your spine is out of balance.
The cause of this uneven wear on the shoes is usually that the hips are unlevel. If your hips are unlevel then is causes everything to shift. This puts pressure on things that shouldn’t be under pressure and it causes more problems later.

Can you see how thhis runner’s foot turns inward?
This just doesn’t look right. 
One consequence of being unlevel is that it can cause joints to wear out. Consider this- sometimes people need to get a knee replaced. Why the one knee and not the other? You took as many steps with the good one as the bad one. Why is the good one good and the bad one bad?
Answer: The hips were unlevel and it wore it out.
Knee surgery anyone?

What do we do about it?
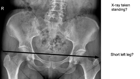
To get the hips level we first have to know how unlevel they are. Go to a chiropractor and get a set of standing x-rays. These are taken under the effects of gravity. Only chiropractors take standing x-rays. Chiropractors understand the relationship of structure vs. function.
Can you see how unblevel hips throws you out of balance?

The correction is easy. I take accurate measurements on how unlevel the hips are. I will need to put a heel insert inside the shoe to correct this. Sorry – not everybody is level. I even have to have a heel lift in my left shoe.

Once you correct the hip height you bring the body back into balance. This takes the uneven pressure off of the hips, knees, and back. Now maybe those shoes won’t wear out so much. This is an example of how we correct the problem that is causing the pain.
A body in balance and healthy is really what chiropractic is all about!
I know you have a question… Call us with your questions.
2 comments
I have terrible outside ankle pain but also had bout sciatica with buttocks and hip knot worked out I have orthotics but seems to wear more on outside heel told it’s pelvic tilt but I think it’s right side shorter than left but standing and walking flattens me out not walking right then ankle gets bad around the ball of ankle next morning it’s great with rest
Also seems roll bar technology on shoes feels like it makes me pronate but shoes don’t get so run down in outside I do have heel lifts but have not tried them I do ankle exercises but seems to be painful rest of the day and flute seems to ache what could be the issue.